与亲女乱系列小说h,双性受从小被攻吃奶,三级伦理网,亚洲一区国产精品

悅刻電子煙貨源網,悅刻一手貨源批發網站,提供微商正品relx貨源

TROY電子煙多錢(troy特洛伊電子煙官網)

小編

troy電子煙多錢呢?一包電子煙大概在200元左右,如果是大品牌的話,價格可能會更高一些。但是,這些都是小打小鬧,并不影響正常使用。而且,小米電子煙的口感還不錯,吸食起來非常舒服。不過,小米電子煙雖然好,但是也有一些弊端,比如電池容量小,續航能力差等。所以,大家在購買電子的時候,一定要擦亮眼睛,避免上當受騙。下面,我們就來看看,這款小米電子煙到底怎么樣?值不值得入手?希望能幫助到大家。

來源:雙鴨山科研小黑屋(ID:xhw-sysu)


冠心病斑塊的發展是一步一步的,吸煙的危害也是一步一步的。

不管有沒有心血管疾病,吸煙都是建議停止的。在任何時候,包括現今新冠流行期間,吸煙都是隨時被吐槽的危險因素。

急性煙霧暴露可通過減少固有免疫應答和氣道基底干細胞(ABSCs)增殖,使SARS-CoV-2引起更嚴重的氣道上皮疾病。

但有人說,我吸電子煙。電子煙,一種模仿卷煙的電子產品,通過加熱油艙中的煙油,將尼古丁等變成蒸汽后,讓用戶吸食,不含傳統香煙燃燒產生的焦油、一氧化碳等許多有毒物質。

近年來,使用電子煙(Electronic Cigarettes,e-cig),特別在歐美國家,成為流行態勢。

小編更關心的是,電子煙和心血管疾病的關系。

一項隨機、雙盲的pilot研究表明,電子煙會使周圍和中央血液動力學以及動脈僵硬度惡化。

另一項研究報道,電子煙可增加動脈僵硬度和氧化應激,盡管程度不如傳統香煙。

動物體內也有類似表現, 長期暴露于E-cig蒸氣(8個月)的ApoE?/?小鼠會加速動脈粥樣硬化斑塊,嚴重損害主動脈內皮功能,增加動脈僵硬度,并導致心臟功能受損。

長期間歇性電子煙暴露會引起ApoE?/?小鼠的心臟功能障礙和動脈粥樣硬化。

但電子煙的促動脈粥樣硬化作用的潛在機制仍不清楚。

近日,來自羅格斯·羅伯特·伍德·約翰遜醫學院病理學與檢驗醫學系的He Wang教授等發現,電子煙誘導TLR9表達,促進動脈粥樣硬化。

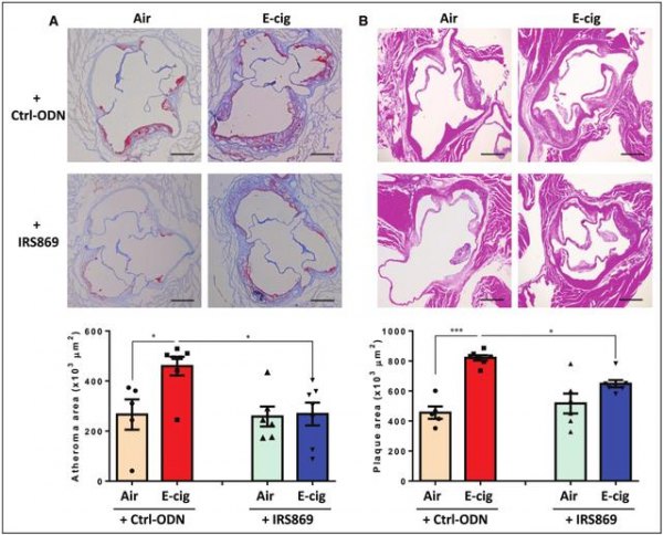
易于發生斑塊的C57BL/6J ApoE?/?小鼠全身暴露于電子煙霧中(2ml含2.4%尼古丁的經典煙油Platinum V2 RED E-liquid加熱),每天2小時,1周5天,連續16周(是只老煙鼠了),主動脈斑塊負荷顯著比對照組大。(脂質沉積和斑塊橫截面積增加)。

也就是關鍵結論,電子煙霧促進斑塊進展。

研究者還發現,在電子煙霧暴露下,主動脈斑塊TLR9顯著增加,而這在吸電子煙人群的股動脈斑塊得到相應的趨勢。

TLR9是固有免疫組成部分,和其它Toll樣受體一樣,非特異性接受損傷分子的刺激。

先前研究證實,TLR9促進巨噬細胞泡沫細胞轉變、炎癥發生,從而促進動脈粥樣硬化的進展。(研究這個分子緣由就隱藏在我們看不見的文獻背后了)。

如前所述(對付斑塊的“特洛伊木馬計”),動脈粥樣硬化斑塊啟動和發展環節中,單核細胞的募集,最主要的是Ly-6Chi單核細胞,很大程度分化成斑塊內炎性巨噬。作者試圖把他們聯系起來。

確實,在細胞層面的分析,電子煙油下的小鼠呈現出血循環中單核細胞更高表達TLR9,而且在經典單核細胞群中遷移相關分子CCR2+占更高比例,同時在斑塊中雙免疫熒光染色顯示巨噬細胞是其中表達高水平TLR9的主要細胞類型。

另外,來自電子煙暴露小鼠的血漿能刺激單核巨噬的炎性激活,TNF-a、IL6等表達增加。

這提示單核巨噬的激活在電子煙誘導的動脈粥樣硬化中可能作為效應細胞;TLR9的升高伴隨著電子煙導致的循環及斑塊內單核巨噬激活。

因此,研究人員使用TLR9拮抗劑(IRS869,5 mg/kg,1周2次)確認TLR9是不是介導電子煙霧造成斑塊擴大的關鍵因素。

IRS869顯著減少了小鼠斑塊負荷(橫截面積和脂質沉積均減少)。相應地,降低了循環炎癥因子、單核細胞TLR9和遷移分子CCR2的表達,更重要的,降低了斑塊TLR9表達以及斑塊內巨噬細胞的積聚。

這些數據表明,在電子煙暴露下,阻斷TLR9的信號能抑制動脈粥樣硬化斑塊的進展。

當然,還有一個重要的問題,TLR9具體如何發揮作用,分子的上下游都是可以進一步闡明的問題。

文獻報道,電子煙霧可抑制細胞的抗氧化防御作用,并引起明顯的氧化DNA損傷。

而TLR9細胞是內雙鏈DNA的免疫感受器。

電子煙鼠血漿中有顯著增加的線粒體DNA(mtDNA)/核DNA(nDNA)比例,并且血漿中氧化應激相關DNA損傷的生物標記8-OHdG增高。

研究者的下一步驗證是,電子煙霧提取物處理增加巨噬細胞胞質mtDNA水平(檢測線粒體編碼基因mtCO-1),而使用提取出來的這種mtDNA刺激正常巨噬細胞可以引起TLR9的激活,TLR9抑制劑可以消除mtDNA刺激帶來的炎癥激活。表明mtDNA被電子煙霧刺激產生,作為TLR9上游,激活TLR9,產生下游炎癥效應。

電子煙可增加循環血液中受損線粒體DNA的水平并誘導TLR9的表達,從而提高單核細胞/巨噬細胞中促炎性細胞因子的表達,從而導致動脈粥樣硬化。

文章更像是一篇驗證性的文章,但也同時說明了從前研究的傳統卷煙的致病途徑在電子煙這里也有類似的表現,說明電子煙不是一種獨特的煙,或者另一種“無辜”的東西,還是煙。

但也有人會argue說,這種煙油里含有尼古丁啊,我可以吸不含尼古丁的健康的電子煙。

但2020年JAHA的一篇研究顯示,高功率使用鎳鉻合金加熱元件后可以迅速發生電子煙或電子煙產品使用相關的肺部損傷樣情況,不依賴于常見的添加物四氫大麻酚、維生素E或尼古丁。

在新冠期間,尤其要引起注意。

但事實上絕大多數電子煙還是含有尼古丁的,在酷炫的賣相和炫酷的廣告宣揚下,電子煙的使用會使本來不吸煙的人產生尼古丁依賴逐漸成為真的煙草成癮者,這也是需要警惕的。

因為這樣的人群可能來源于更年輕的一代。

畢竟中國最新也是首次發布的數據顯示,中國的電子煙使用率仍然較低,但在2015年至2019年期間大幅增加(1.3%增至1.6%)。

電子煙絕不是香煙替代的“無害”方式,更不是“第一口”、“試一試”的理由!

上一篇:夢見電子煙沒電(夢見別人抽電子煙)

下一篇:影響電子煙口感的因素 影響電子煙口感的因素是什么

<ins id="vnffr"></ins>
<del id="vnffr"></del>
<cite id="vnffr"><span id="vnffr"><var id="vnffr"></var></span></cite>
<cite id="vnffr"></cite>
<cite id="vnffr"><video id="vnffr"></video></cite><cite id="vnffr"></cite>
<ins id="vnffr"><span id="vnffr"><cite id="vnffr"></cite></span></ins>
<ins id="vnffr"></ins>
<noframes id="vnffr"><progress id="vnffr"><ruby id="vnffr"></ruby></progress>
<cite id="vnffr"></cite><del id="vnffr"><span id="vnffr"></span></del>
<ins id="vnffr"></ins>
<cite id="vnffr"></cite>
<ins id="vnffr"><span id="vnffr"></span></ins>
<noframes id="vnffr"><progress id="vnffr"><dl id="vnffr"></dl></progress>
<cite id="vnffr"></cite>
<cite id="vnffr"></cite><progress id="vnffr"><dl id="vnffr"></dl></progress>
<cite id="vnffr"></cite>
与亲女乱系列小说h 天水市| 社旗县| 定州市| 靖边县| 开平市| 莎车县| 昔阳县| 玛沁县| 长宁县| 上饶县| 香港| 增城市| 贵溪市| 安新县| 成安县| 象州县| 永吉县| 察隅县| 海林市| 贵港市| 玉田县| 濮阳市| 淳化县| 阳春市| 通州市| 依安县| 平谷区| 双鸭山市| 胶州市| 姚安县| 德庆县| 龙游县| 呼和浩特市| 兴安县| 客服| 将乐县| 哈尔滨市| 岫岩| 卓尼县| 大余县| 庆云县| http://444 http://444 http://444