与亲女乱系列小说h,双性受从小被攻吃奶,三级伦理网,亚洲一区国产精品

悅刻電子煙貨源網,悅刻一手貨源批發網站,提供微商正品relx貨源

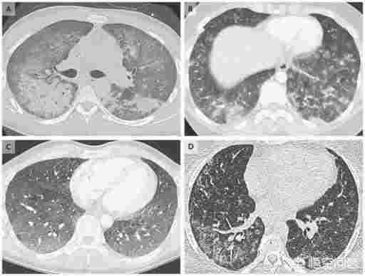
電子煙影響肺嗎?抽電子煙肺會不會變黑

小編

電子煙影響肺嗎?答案是肯定的。電子煙中含有尼古丁,這種物質對人體有害,長期吸食會導致慢性支氣管炎、肺氣腫等疾病。另外,電子煙還會引起呼吸道感感染,增加哮喘發病率。所以,我們不建議孩子使用電子煙。如果家長發現孩子有吸煙的習慣,一定要及時制止,避免危害孩子的身體健康。同時時,也建議家長在日常生活中,盡量不要讓孩子接觸電子煙。另外,我們也要注意,不要讓孩子長時間使用電子煙,這樣會影響孩子的身體健康。

一、短期內使用電子煙會引起肺部的哪些變化?

俄亥俄州立大學的一項研究發現,即使是短期內使用電子煙也會觸發此前從未吸過煙的成年人的炎癥。這是研究人員首次發現“從不吸煙者”短期使用電子煙會引起肺部變化,這突顯了電子煙和其他類似 產品的潛在健康風險。

這項研究包括讓參與者在四個星期內使用電子煙,其電子煙液中不含香精或尼古丁。四周后,參與者進行了支氣管鏡檢查,發現炎癥引起的細胞變化。

由于這項研究排除了尼古丁和香精,因此結果表明,丙二醇和植物甘油(這是電子煙液中的兩種主要成分)可能為電子煙使用者的炎性肺部疾病鋪平道路。炎癥也是癌癥發展的驅動因素。

該研究的資深作者、醫學博士Peter Shields說道:

該研究的意義在于長期使用,增加日常使用以及添加香精和尼古丁可能會促進其他炎癥。公眾普遍認為,電子煙比香煙更“安全”?,F實情況是,行業變化如此之快、法規要求極低以及使用率超過了我們的科學理解速度。

這項研究與越來越多的研究一起分析了電子煙對健康的影響。盡管過去的研究涉及參與者使用電子煙的時間更長以及包括香精在內的電子煙液,但這并不是通過使用電子煙發現炎癥的第一項研究。

二、美國去年的電子煙病人的肺與新冠病人一樣嗎?

優質答案1:

▲拒絕電子煙的美國標志。拒絕與煙草有關的一切煙具,方能真正走向健康。

魂舞大漠看到的公開報道,美國去年9月發生的流感,很嚴重,依其媒體公開報道,致死者超過了3.7萬人,死亡的恐慌與驚懼,存在諸多傳說,一時電子煙有關的說法在社會上不脛而走,特別是在吸電子煙的發生感染以后,從此電子煙即與肺病聯系在一起,因此電子煙在市面上嘎然而止。

▲2019年網絡一則消息,電子煙與肺炎有關。

哈佛一學者認為,電子煙本來是來代替香煙而戒煙的,當電子煙成為一種流行,不吸煙的也吸起來。此學者還同時指出,電子煙液中也含有大量尼古丁,成為青少年吸食泥古丁的幫兇,吸電子煙成癮的,就像吸食海洛因離不開的針頭一樣。當社會上在“美國流感”期間,建立了對電子煙的正確認識后,電子煙從而銷聲匿跡。若問他們的肺是否與新冠病人一樣,沒有醫學部門公開的消息用來建立認知和科學判斷。

個人認為,既然電子煙液中也同樣與煙草一樣有害,即不能拿電子煙當什么新潮。戒煙全憑意志,目前并沒有任何醫療替代品。既然認知吸煙有害健康,當斷則斷,不如早下決心的好。狡猾的新冠病毒,縱然厲害,相信在全球醫學工作者努力下,一定能找到破解之道,我國即有疫苗正在試驗中。

而戒煙之法無它,意志之間的一念,通過轉移注意力,多創造娛樂的環境,在親友幫助下,通過戒煙,一定能找到一個全新的自我。戒煙,必須的,大家不見那些成功戒吸者的驕傲,個頂個地蠻自豪的喲。

優質答案2:

電子煙是不是早期新冠?

并不是。

只能說這是一則非常抓人眼球的謠言。兩者最初被聯系起來是因為患者的X光片都可能出現白肺,也就是肺部浸潤性的炎癥。

但是白肺是多種肺炎共同的癥狀,并不能表明是什么引起了這個肺炎。電子煙肺炎和新冠肺炎不過從病因上還是癥狀上都存在許多區別。

目前對于電子煙肺炎的調查認為它的病因極可能是維他命E酸酯[1],一種不合法的電子煙增稠劑引起的化學性損傷, 而新冠肺炎是由新型冠狀病毒引起的病毒性肺炎[2]。

流行病學顯示電子煙肺炎的病例并沒有發現有傳染性,而新冠則有較強的感染性。

另外兩者的患病人群也不一樣。超過75%的電子煙肺炎病人為35歲以下的青年[1],而新冠肺炎病人,尤其是重癥病人,則以65歲以上的老年人為主[3]。

另外電子煙肺炎僅有少于30%的患者出現過發熱癥狀,而發熱癥狀在有癥狀的新冠病人中極為常見。從以上的這些角度上來說,流感引起的病毒性肺炎與新冠更為接近。

參考文獻:

1.Outbreak of Lung Injury Associated with the Use of E-Cigarette, or Vaping, Products.U.S. Centers for Disease Control and Prevention.https://www.cdc.gov/tobacco/basic_information/e-cigarettes/severe-lung-disease.html#epi-chart

2.Zhu, N., Zhang, D., Wang, W., Li, X., Yang, B., Song, J., ... Niu, P. (2020). A novel coronavirus from patients with pneumonia in China, 2019.New England Journal of Medicine.

3.中國疾病預防控制中心新型冠狀病毒肺炎應急響應機制流行病學組.新型冠狀病毒肺炎流行病學特征分析[J].中華流行病學雜志, 2020, 41(2): 145-151

歡迎關注普科工作室,為您分享精科普。

三、與電子煙相關的肺部疾病已導致幾人死亡?

電子煙通常被認為是傳統香煙更安全、更健康的替代品。這是電子煙(如Juul等設備)在青少年和其他未成年用戶中越來越受歡迎的原因之一。不幸的是,美國最近出現了一些與電子煙相關的肺部疾病病例。

最近,美國疾病控制與預防中心(CDC)一直在研究一種嚴重而神秘的肺部疾病,這種疾病顯然是由于電子煙引起的。雖然這不是癌癥,但事實證明它同樣危險。據《紐約時報》周五報道,這種疾病已經奪去了四名美國公民的生命。后兩名受害者分別來自印第安納州和明尼蘇達州。

官員們認為這種疾病的原因可能是一種特定的化學物質,但他們尚未準確確定該化學物質可能是什么。然而,其中一個更可能的罪魁禍首是一種名為“維生素E醋酸鹽”的化合物,這種化合物在紐約的八種不同病例中被發現。

還有一種化學物質的混合物可能導致這種兩難境地:一些患者報告說“從大麻中提取的物質”。哈佛大學博士David Christiani認為,這些物質(包括THC)與普通電子煙液中的化學物質相結合,可能會產生危險的“新毒素”。

調查人員還在研究疾病與街頭購買的假冒或污染的電子煙液(和裝置)之間的潛在聯系。CDC建議使用電子煙的公眾避免購買這些產品。最近可能受此病影響的患者人數翻了一番,共計約450例疑似病例。受該疾病影響的絕大多數(超過80%)患者是男性,平均年齡為19歲。

“我們致力于找出讓人生病的原因,”CDC主任 Robert Redfield在一份聲明中說道?!八锌捎玫男畔⒍荚诒蛔屑毞治?,這些初步調查結果正在幫助我們縮小調查重點,讓我們更接近拯救生命所需的答案?!?/p>

CDC建議公眾停止使用他們的電子煙設備; 至少在該小組的調查得出結論之前。

<ins id="vnffr"></ins>
<del id="vnffr"></del>
<cite id="vnffr"><span id="vnffr"><var id="vnffr"></var></span></cite>
<cite id="vnffr"></cite>
<cite id="vnffr"><video id="vnffr"></video></cite><cite id="vnffr"></cite>
<ins id="vnffr"><span id="vnffr"><cite id="vnffr"></cite></span></ins>
<ins id="vnffr"></ins>
<noframes id="vnffr"><progress id="vnffr"><ruby id="vnffr"></ruby></progress>
<cite id="vnffr"></cite><del id="vnffr"><span id="vnffr"></span></del>
<ins id="vnffr"></ins>
<cite id="vnffr"></cite>
<ins id="vnffr"><span id="vnffr"></span></ins>
<noframes id="vnffr"><progress id="vnffr"><dl id="vnffr"></dl></progress>
<cite id="vnffr"></cite>
<cite id="vnffr"></cite><progress id="vnffr"><dl id="vnffr"></dl></progress>
<cite id="vnffr"></cite>
与亲女乱系列小说h 阳曲县| 武义县| 南岸区| 新绛县| 昌乐县| 荔浦县| 平武县| 城口县| 达孜县| 龙里县| 且末县| 当阳市| 长宁县| 师宗县| 买车| 陕西省| 芜湖县| 七台河市| 合山市| 文昌市| 宁波市| 鄂伦春自治旗| 仁怀市| 伊通| 涿鹿县| 文昌市| 南川市| 仙桃市| 宜宾市| 长岛县| 黄山市| 朝阳区| 沿河| 西昌市| 上饶市| 宁国市| 武邑县| 互助| 友谊县| 敖汉旗| 石林| http://444 http://444 http://444